Безопасные и эффективные способы отбелить зубы в домашних условиях
Latest posts by Lady Venus (see all)
- Как стать востребованным косметологом? - 30.11.2021
- Как сделать, чтобы ноги не пахли - 06.07.2021
- Выбираем часы в подарок жене - 28.05.2021
Красивая улыбка – неотъемлемая часть имиджа. А белоснежные ровные зубы – залог красоты этой самой части имиджа. Потому-то важно следить за здоровьем зубов и цветом их эмали. Это гарантирует уверенность в себе!
Со временем эмаль желтеет и это знакомо большинству людей. Каким бы тщательным ни был бы уход, порой этого не достаточно для белизны зубов. Так и начали появляться разнообразные способы отбеливания зубов. Причем многие способы отбеливания зубов очень простые и доступны для домашнего исполнения.
Содержание
Способ первый: Народные средства
Народные средства для отбеливания зубов – достойная альтернатива дорогостоящим стоматологическим процедурам, которые доступны всем. Они просты в применении, многие дают видимый результат уже сразу после применения. И при правильном их использовании, народные средства не разрушат эмаль, не сделают зубы чувствительными, а даже наоборот, укрепят их.
-
Сода
Самая обычная сода, которая есть на каждой кухне – давно проверенное средство для отбеливания зубов. Несмотря на то, что является абразивом, при правильном использовании деликатно отбеливает эмаль.
Отбеливание, главным образом, происходит за счет полировки поверхности зуба, удаления налета и незначительных отложений зубного камня. То есть, данное средство способно максимум осветлить зубы на пару тонов.
Преимущество соды – в ее натуральности и безвредности. К тому же она не повреждает десны.
В адрес скептиков отметим, что сода является популярным компонентом многих зубных паст известных марок. Поэтому не стоит недооценивать данный материал, как «отбеливатель» для ваших зубов.
Для того чтобы отбелить зубы содой, нужно окунуть влажную зубную щетку в небольшое количество этого продукта. Если вкус соды смущает, ее можно смешать с вашей зубной пастой и произвести чистку зубов. Делать это нужно аккуратно, без нажима щеткой на зубы и не слишком интенсивно. В завершении прополоснуть рот водой.
Уже после первой процедуры можно отметить, что зубы стали светлей, а их поверхность более гладкой.
-
Соль
Измельченная пищевая соль, как отбеливающее средство, не менее популярна, чем сода. Она дает вполне безопасный абразив, который эффективно и быстро снимает налет и темные пятна от крепких напитков.
Чтобы отбелить зубы без вреда нужно приготовить такую смесь: пол чайной ложки мелкой пищевой соли смешать с пачкой зубного порошка и содой, взятой в количестве, равном количеству соли. Все измельчить до состояния порошка.
Готовое средство применять вместо зубной пасты не более раза в две недели.
-
Лимонная шкурка
Все части лимона содержат лимонную кислоту, которая способна эффективно и быстро отбеливать. То же самое она и делает с зубами. Но, поскольку в мякоти и соке желтого цитруса слишком высокий процент содержания кислоты, для отбеливания зубов пригодиться шкурка.
В шкурке кислот меньше всего, при этом отбеливающие свойства практически ничем не уступают свойствам других частей плода. Например, именно она используется, когда нужно срочно и быстро отбелить зубы в домашних условиях.
Без вреда для эмали, шкурка лимона быстро удалит темный налет с зубов и сделает их на 2 – 3 тона светлей. Все, что нужно, это после чистки зубов своей пастой, протереть белой стороной шкурки поверхность зубов на обоих рядах.
Выполнять такую процедуру можно не часто, поскольку это дополнительная нагрузка на эмаль, хоть и незначительная.
-
Клубника и земляника
Эти ценные ягоды содержат натуральные отбеливающие агенты, которые способны быстро осветлить зубы на пару тонов, не повредив эмаль.
Несмотря на то, что в составе ягод есть кислоты, которые и являются теми агентами, они безопасны при правильном применении.
Чтобы отбелить зубы этим средством, нужно обработать зубы чистыми ягодами и оставить «маску» на несколько минут. Затем смыть ее и почистить зубы своей пастой. Именно такая очередность процедуры убережет эмаль от повреждений.
-
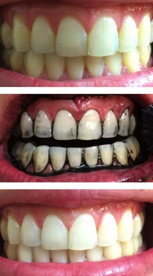
Древесный уголь (пепел)
Это старое и проверенное средство отбелить зубы в домашних условиях. Его даже некоторые стоматологи рекомендуют использовать.
Преимуществом является натуральность, безвредность и эффективность в удалении зубного
Наиболее эффективным считается уголь от сгоревшего березового полешка. Но поскольку в городских условиях найти такой уголь непросто, можно взять обычную спичку.
Для приготовления угля нужно удалить серную головку либо просто счистить серу со спички и сжечь ее. Пепел, который останется после сожжения, насыпать поверх зубной пасты и почистить зубы.
-
Активированный уголь
Более прогрессивное средство из народа, которое уже успело зарекомендовать себя с лучшей стороны.
Кстати, как сода, уголь входит в состав паст некоторых брендов. Это только подтверждает, что активированный уголь действительно способен не только адсорбировать на себя шлаки, а и отбеливать зубы.
Преимуществом активированного угля является его натуральность, эффективность, безопасность, доступность и возможность заготавливать его впрок.
Чтобы отбелить зубы, необходимо измельчить в кофемолке один блистер таблеток активированного угля. В результате должна получиться пудра. В готовую пудру нужно окунуть влажную щетку и очистить зубы в привычном режиме. Делать это нужно тщательно, но, не оказывая давления на зубы и десна.
Проводить процедуру угольного отбеливания можно не чаще раза в неделю. После процедуры можно отметить значительное осветление зубной эмали и ее гладкость.
-
Перекись водорода
Это вещество давно прославилось своими отбеливающими свойствами. В свое время им осветляли волосы, брови и даже кожу лица. Сегодня его используют для отбеливания зубов, причем не, только в домашних условиях.
Именно перекись водорода часто является основным компонентом стоматологических отбеливающих систем.
Ее главное преимущество – это гарантированный результат – белые зубы. В тоже время следует помнить, что средство должно применяться крайне осторожно. В частности, нужно стараться минимизировать ее попадание на десны и полностью исключить ее попадание в пищевод. Также нельзя применять перекись слишком часто иначе последствия могут быть самыми непредсказуемыми.
Чтобы отбелить зубы при помощи перекиси, нужно пропитать ею ватный диск или палочку и аккуратно протереть зубы. Делать это нужно после чистки зубов перед сном. Также можно приготовить полоскание: в 100-граммовом стакане воды растворить 40 капель перекиси и прополоскать им рот.
Процедура отбеливания выполняется курсом: на протяжении недели обрабатывать зубы перекисью через день. Повторить курс не ранее, чем через полгода.
В результате, уже к концу недели зубы станут белоснежными.
-
Йод
Это хорошее народное средство, которое безопасно осветлит зубы, а также укрепит зубную кость. Но применять его можно не чаще одного раза в две недели.
Чтобы отбелить зубы йодом необходимо капнуть капельку средства поверх обычной зубной пасты и произвести чистку зубов.
Таким образом, можно постепенно и уверенно осветлять зубы, не опасаясь повредить эмаль.
-
Кальций

Таблетки кальция, которые можно приобрести в аптеке, являются основой для приготовления эффективной отбеливающей пасты.
Чтобы приготовить домашнюю пасту, нужно измельчить таблетку кальция. К полученному порошку добавить немного мелкой соли и воды, чтобы получилась густая, пастообразная масса.
Готовой пастой нужно чистить зубы в привычном режиме. Процесс чистки должен занимать не менее трех минут. Во время чистки нельзя надавливать щеткой на зубы.
Чистить зубы такой пастой можно ежедневно в течение недели. Затем – перерыв и можно снова повторить через месяц.
-
Смола и банан
Если безопасность отбеливания стоит превыше ярко выраженного эффекта, тогда стоит приготовить мягкую отбеливающую пасту из натуральных компонентов.
Для приготовления пасты нужно подсушить в микроволновой печи кожуру банана и измельчить ее в блендере вместе со смолой (можно купить в аптеке) и морской солью. К полученному порошку нужно добавить оливковое масло, чтобы получилась кремообразная паста.
Готовой смесью нужно смазывать зубы 2 раза в день после еды, предварительно пополоскав рот и почистив зубы в обычном режиме.
Советы специалиста:
- Совет 1. Прежде чем воспользоваться любым народным средством, необходимо проконсультироваться со своим стоматологом. Это поможет убедиться в том, что конкретное средство даст желаемый результат и не навредит зубам.
- Советь 2. Чтобы народные средства помогли отбелить зубы, необходимо выяснить причину потемнения зубов. Для этого поднесите лист бумаги для принтера к зубам и посмотрите в зеркало. Если зубы на фоне листа кажутся желтыми, значит, домашнее отбеливание вам подойдет. Если же зубы на фоне бумаги выглядят серыми, то домашнее отбеливание вам не поможет, поскольку зубы потемнели из-за потемнения зубной кости, либо же из-за пломб (передние зубы). Народные средства способны отбеливать только «свежие» пятна и налет от напитков, начального отложения камня.
- Совет 3. Выполняя процедуры по отбеливанию – делайте это аккуратно и бережно. Не нужно давить на щетку, так как это может повредить эмаль и десна. В результате повысится чувствительность зубов, и могут появиться воспаления на деснах.
- Совет 4. Любым народным средством не стоит злоупотреблять, ссылаясь на его безопасность. Оно безопасно до тех пор, пока применяется по рекомендации и правилам, прописанным для каждого конкретного средства. Нарушение этих правил чревато необратимыми процессами в зубах.
Способ второй: Аптечные средства
Если отбеливающие пасты не работают, а народное отбеливание кажется малоэффективным или слишком длительным, попробуйте специальные средства для домашнего отбеливания, которые предлагают в аптеках.
Наука и медицина совместными разработками изобрели новаторские препараты, которые способны быстро осветлить зубы на пару тонов.
Самые популярные аптечные средства для отбеливания зубов:

- Карандаш
- Отбеливающие полоски
- Капы с гелем
-
Отбеливающий карандаш
Данный препарат представляет собой карандаш с фетровым наконечником. Наполнен карандаш отбеливающим средством на основе перекиси водорода или диоксида титана. Также могут быть и другие активные вещества.
Преимуществами карандаша являются простота использования, безопасность, быстрый результат, приятный вкус, удобная форма.
Отбеливающий карандаш можно всегда носить с собой в сумочке и применять его после чашечки кофе или бокала вина. Ведь продукт отбеливает зубы за 15 минут!
Кроме отбеливания, многие карандаши защищают зубы от кариеса, освежают дыхание и весьма приятны на вкус.
В аптеке можно купить карандаш разных марок. Средняя цена около 7 долларов.
-
Отбеливающие полоски
Еще одно новаторское изобретение, производители которого обещают быстрый и устойчивый результат, а главное – безопасный.
Продукт представляет собой тонкие полоски, поверхность которых покрыта медицинским отбеливающим гелем на основе перекиси водорода. Они очень просты в применении.
Достаточно оклеить оба ряда зубов полосками, оставить на некоторое время, после чего снять и наслаждаться белоснежной улыбкой.
Приобрести такие чудодейственные полоски можно в аптеках и фирменных магазинах. Средняя стоимость около 30 долларов за упаковку, рассчитанную на 14 дней.
-
Капы с отбеливающим гелем
Данный продукт создан специально для домашнего отбеливания зубов.
Капа представляет собой термоформную заготовку, которую нужно самостоятельно заполнить отбеливающим гелем и надеть на обе челюсти.
Отбеливающий гель изготавливается на основе перекиси водорода. В зависимости от ее концентрации, капу нужно носить от получаса до часа либо на всю ночь.
Чем выше концентрация перекиси – те6м быстрей достигается результат – белоснежные зубы. Соответственно, тем реже нужно применять этот продукт.
Например, капу с гелем, в котором содержится 7,8% перекиси водорода (карбамид) нужно носить не более получаса. По истечении этого времени капа снимается, а зубы очищаются отбеливающей пастой. После процедуры нужно воздержаться от приема пищи на пару часов.
Приобрести капы с гелем можно в аптеках и фирменных магазинах. Средняя стоимость набора – около 8 долларов.
Советы специалиста:
- Совет 1. Чтобы не навредить зубам, перед покупкой отбеливающего средства проконсультируйтесь со стоматологом. Несмотря на то, что любое из описанных средств находится в свободной продаже, нужно быть очень аккуратным и не пренебрегать советом доктора.
- Совет 2. Используйте средство строго по инструкции и не превышайте указанное время и периодичность использования. Это чревато негативным влиянием на эмаль и может ее разрушить. А эмаль, как известно, не восстанавливается.
- Совет 3. Для качественного выполнения процедуры проведите профессиональную чистку зубов у стоматолога. После удаления камней и налета процедура отбеливания сделает зубы по-настоящему белоснежными.
- Совет 4. Перед домашним отбеливанием обязательно почистите зубы отбеливающей пастой и зубной нитью. Хорошо прополощите рот.
- Совет 5. Всегда следите за гигиеной ротовой полости. Чистите зубы 2 раза в день, а после приемов пищи полощите рот либо жуйте стоматологическую жевательную резинку (орбит, дирол). Это поможет поддерживать здоровье зубов, предупредит образования камня, кариеса и налета.
- Совет 6. Меняйте зубную щетку через каждые три месяца. Три месяца щетка пригодна для качественной и безопасной очистки зубов. По истечению этого срока на щетке начинают активно скапливаться бактерии, да и щетина ее, как правило, изнашивается.
- Совет 7. Если есть склонность к частому появлению стоматитов, необходимо периодически проводить курсы полосканий корой дума, шалфеем или морской солью. Это поможет укрепить зубы, повысить местный иммунитет и предотвратит стоматиты. Достаточно каждый месяц устраивать неделю полосканий. А если пускать проблему на самотек, то кроме неприятных и болезненных ощущений, неприятного запаха изо рта, на зубах будет быстро формироваться зубной камень и желтый налет.
